Smile with Confidence
in Coimbatore

300+ 5-star Reviews

Meet Dr. S. Samyuktha
With over years of experience in clinical dentistry, Dr. Samyuktha has helped hundreds of patients restore their smiles and confidence. She specializes in braces , aligners (INVISALIGN) root canal treatment, cosmetic dentistry, and child-friendly dental care.
Specialized care in:
Her approach is simple, treat every patient with honesty, care, and the latest techniques in dentistry
A Gentle Place for You and Your Smile
At Dr Samyuktha’s Dentistry, we believe every smile tells a story. Located in the heart of Saibaba Colony, Coimbatore, our clinic provides advanced and affordable dental care for individuals and families. Whether you need a simple dental check-up or a complete smile makeover, we’re here to help you smile confidently.
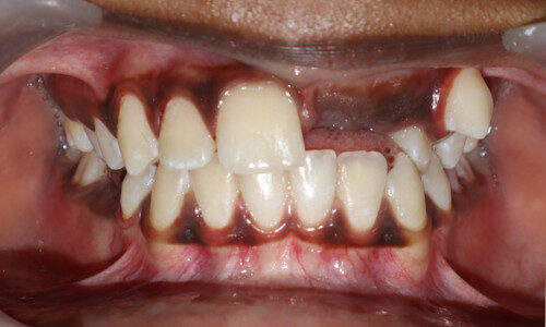
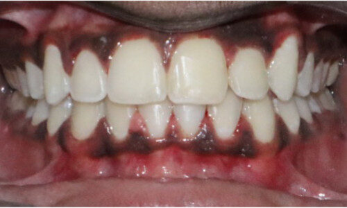
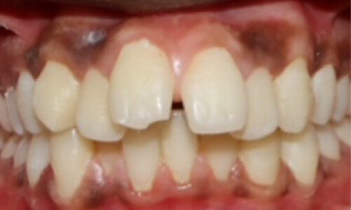
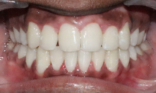
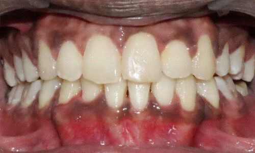
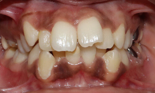
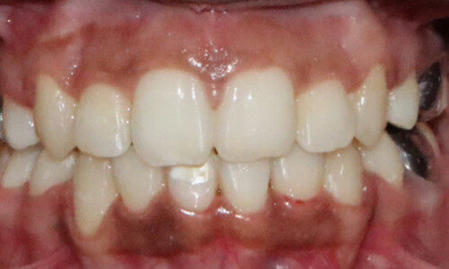
Real people. Real results.
What Makes Us Different
With a focus on gentle care, advanced treatments, and your unique dental needs, we offer a better, more comfortable experience, right here in Saibaba Colony. Discover why we’re the trusted dental choice in Coimbatore.
What Our Smiling Patients Say
FAQ
1. What dental services do you offer at Dr. Samuyutha’s Dentistry?
We provide complete dental care including Aligners ,Invisalign , root canal treatment, braces, teeth whitening, dental implants, pediatric dentistry, and cosmetic smile makeovers at our clinic in Saibaba Colony, Coimbatore.
2. How do I book an appointment?
You can book an appointment by calling or WhatsApping us at 8124070313. We also accept walk-ins.
3. Is the treatment painful?
Not at all! We use advanced tools and gentle techniques to ensure pain-free dental procedures.
4. Do you provide braces and aligners for adults?
Yes! We offer braces and aligners for kids and adults, including ceramic and invisalign aligners.
5. How much does a root canal cost in Coimbatore?
The cost varies based on the condition, but we offer affordable root canal treatment with full transparency. Visit us for a consultation.
6. Are you a child-friendly dental clinic?
Absolutely! Our clinic is designed to be friendly for kids. We offer pediatric dental care with gentle handling, fun tools, and a warm approach.
7. Where are you located?
We are located at NSR Road, Saibaba Colony, easily accessible from R.S. Puram, Gandhipuram, and other parts of Coimbatore.
8. What safety measures are followed at the clinic?
We follow strict sterilization, hygiene, and COVID-safe protocols for the safety of every patient.
Ready for a confident smile?
Call us now at 📞 8124070313 or book your appointment online.
Serving patients from Saibaba Colony, R.S. Puram, Gandhipuram, and across Coimbatore



























